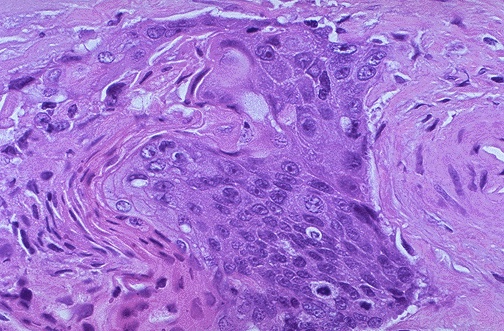
Image 1.4
The high power microscopic appearance of the mid-esophageal mass lesion is seen here.