Image 3.2
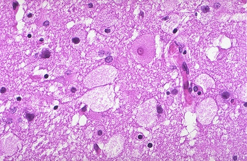
This is a high magnification view of the neocortex. What is wrong?