Image 3.3
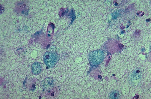
This is the neocortex shown with Luxol fast blue stain (a type of lipid stain).