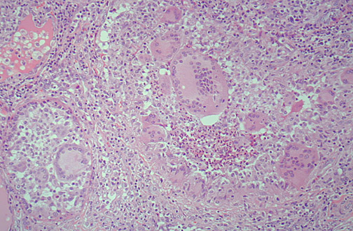
Image 8.2
What are the findings seen here at medium power?