Image 8.3
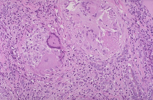
Describe the histologic features at higher magnification. What cells are seen here? What is happening to the thyroid follicles?