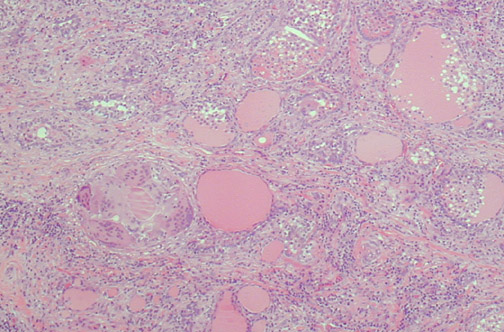
Image 8.1
Describe the histologic features. Is this process neoplastic, hyperplastic, or inflammatory?