Image 2.2
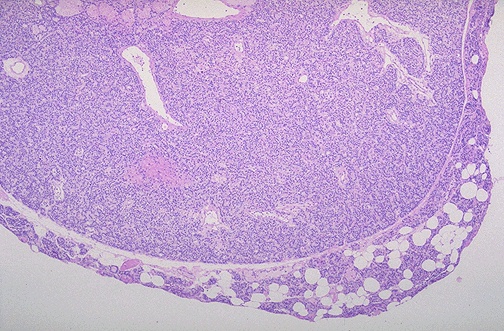
The lesion is circumscribed. Describe the histologic findings.