Image 2.3
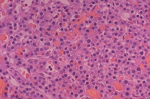
Here is a high magnification view of the lesion. Describe the histologic findings.