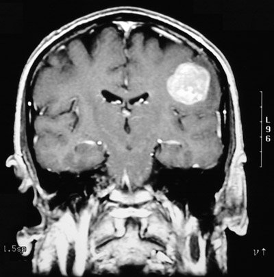
Image 8.1
This T1 weighted post-contrast MRI scan in coronal view demonstrates the lesion. The mass lesion is brightly enhancing and could represent either blood or a neoplasm.