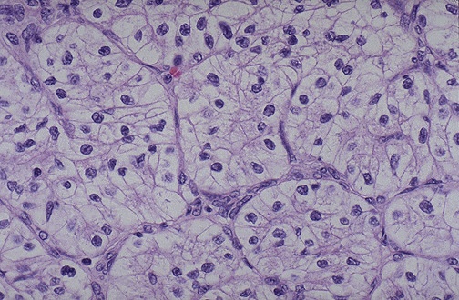
Image 8.2
This microscopic section shows the cellular portion of the lesion evacuated and sent to surgical pathology.