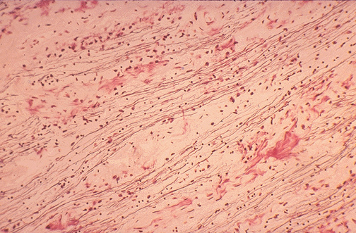
Image 5.4
This is a microscopic section with a silver stain for axons of one of the lesions. [Image contributed by Jeannette J. Townsend, MD, University of Utah]