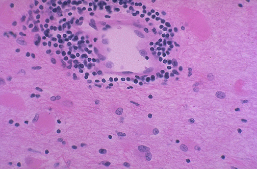
Image 5.5
On this H&E stained microscopic section, note the perivascular lymphocytes in the lesion. [Image contributed by Jeannette J. Townsend, MD, University of Utah]