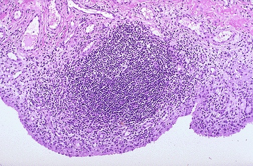
Image 9.3
At medium power can be seen a lymphoid nodule beneath the synovium.