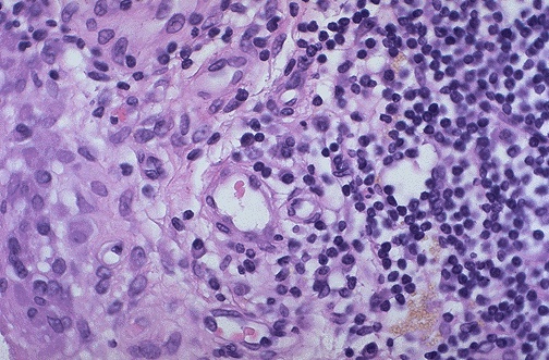
Image 9.4
The inflammatory infiltrates at high magnification are seen here. Describe the appearance.