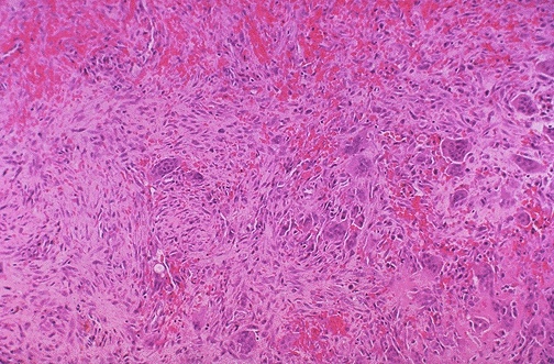
Image 6.4
The blood interdigitates with numerous multinucleated giant cells in a fibroblastic stroma.