Image 6.5
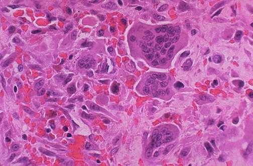
The multinucleated giant cells and the mononuclear cells of the stroma are seen here at high magnification.