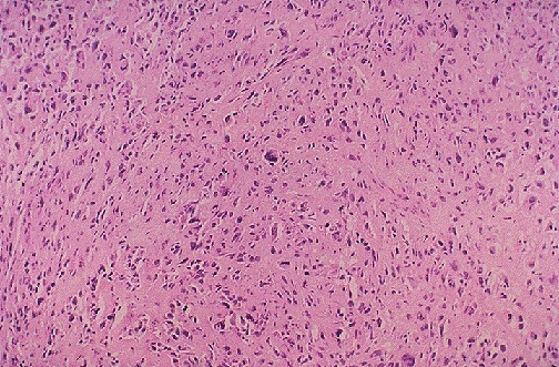
Image 1.5
The metaphyseal lesion is composed of spindle cells with pink cytoplasm. Describe the microscopic features of this lesion.