Image 1.6
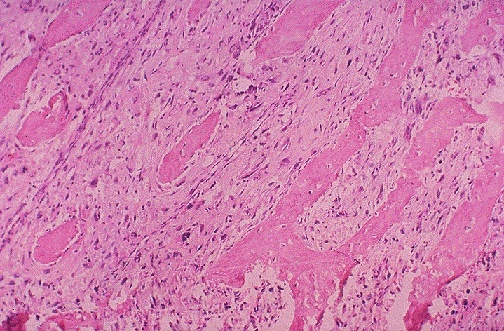
The lesion is composed of some areas of irregular new bone formation which show calcification and ossification of the matrix, but these areas are primitive and disorganized.