Image 16
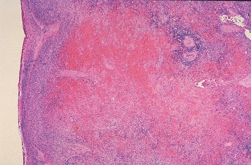
The section of spleen seen here at low power microscopically demonstrates a recent infarction.