Image 17
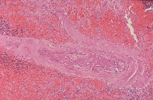
This spleen has a recent infarct. Note the embolus in the small artery in the center of the field.