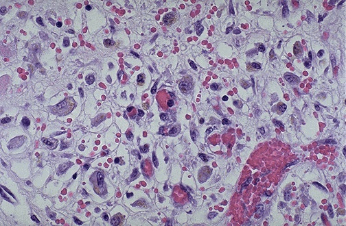
At high magnification, granulation tissue has
capillaries
,
fibroblasts
, and a variable amount of inflammatory cells (mostly
mononuclear
, but with the possibility of some PMN's still being present).