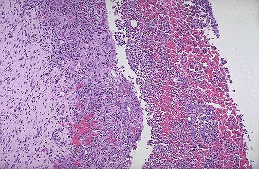
The wall of an abscess that is organizing has
granulation tissue
, seen here at the left. The
purulent exudate
with some hemorrhage is seen at the right in the abscess center.