
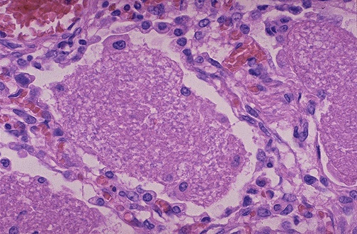
| At higher magnification, the granular pink exudate of Pneumocystis carinii (jirovecii) pneumonia is seen. The exudate consists of edema fluid, protein, Pneumocystis organisms, and dead macrophages. One can see why gas exchange is severely compromised. |
![]() |