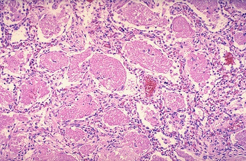
Microscopically, every alveolus is filled with granular pink exudate in this case of Pneumocystis carinii (jirovecii) pneumonia (PCP). This reduces oxygen exchange and leads to the dyspnea and cough characteristic for PCP.