
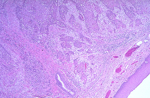
![]() | At low power, there is normal squamous mucosa at the lower right, but a squamous cell carcinoma is infiltrating the submucosa and muscularis of the tongue. Risk factors for oral cancers include: use of tobacco, alcoholism, prolonged irritation from ill-fitting dentures or irregular teeth, and chewing betel nut. |
![]() |