
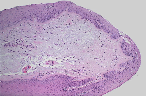
| Quiet! This is a laryngeal nodule (laryngeal polyp) that results most often from abuse of the voice (e.g., a "singer's nodule") or from smoking. Such polypoid lesions are typically found on the true cord and covered by squamous epithelium. They may impart a hoarse quality to the voice, but they do not result in malignancy, though larger ones (up to 1 cm) may ulcerate. |
![]() |