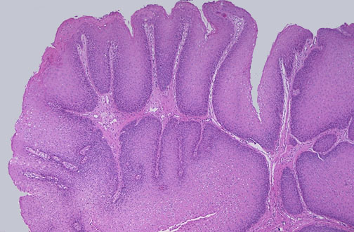
This is a squamous papilloma of the larynx, found on the true vocal fold. Note the long projections of squamous epithelium over fibrovascular cores. These uncommon lesions are solitary in adults, and may cause some bleeding.