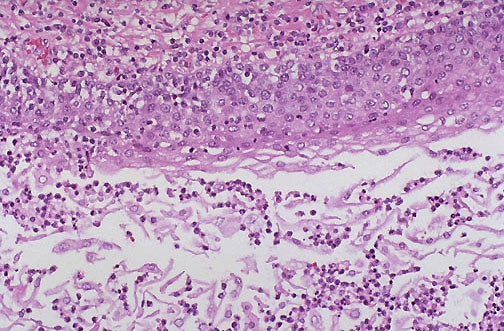
At high magnfication, the mucocele demonstrates acute inflammatory cells in the wall and lumen of the cystic cavity lined by squamoid epithelium.