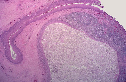
At low magnfication, the mucocele is filled with pale blue mucinous material.