 |
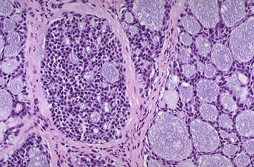
Here is an adenoid cystic carcinoma of salivary gland. It is not common in the parotid gland, but it is the most common neoplasm of minor salivary glands. Though often small, they are infiltrative and have a tendency to recur. Half of them eventually metastasize to a distant site. The microscopic pattern shown here is that of a solid to tubular to cribriform pattern, with the neoplastic cells surrounding mucinous secretions. |