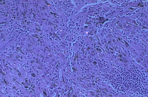
Small amounts of inhaled dusts may contain silica, which is transferred to hilar lymph nodes, along with carbon pigment, to produce this pattern of "silicoanthracosis" a common but clinically insignificant finding.