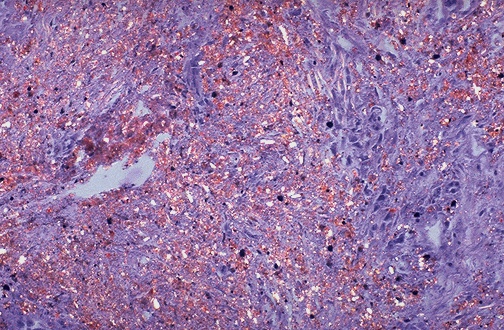
This patient inhaled a large amount of silica dust, producing the disease silicosis, in the lungs.