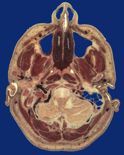
Identify the following regions in the image above: Nostril - Nasal septum - Middle nasal concha - Maxillary sinus - Mandibular coronoid process - Mandibular condylar process - Mandibular ramus - Nasopharynx - Pharyngeal tonsil - Eustachion tube - External acoustic meatus - Tragus - Antihelix of pinna - Mastoid air cells - Pons - Cerebellum - Levator labii superioris - Zygomaticus - Masseter - Medial pterygoid - Tensor veli palatini - Levator veli palatini - Longus capitis - Rectus capitis anterior - Splenius capitis - Rectus capitis posterior major - Semispinalis capitis - Trapezius - Occipitalis - Internal jugular vein - Jugular foramen - Base of occiput - Retromandibular vein

Next Anatomical Image

Anatomy Menu