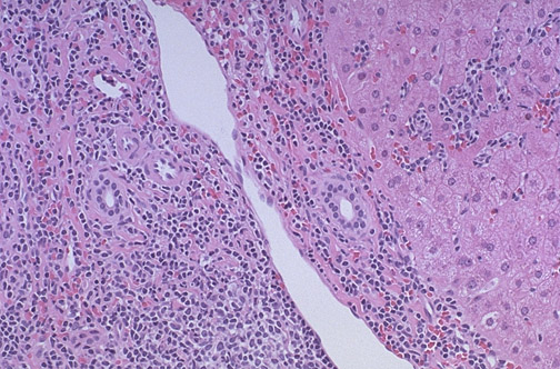
These infiltrates in the liver are composed of small lymphocytes. The involvement of tissues in cases of chronic lymphocytic leukemia (CLL) is known as small lymphocytic lymphoma (SLL). This disease, CLL/SLL, has an indolent course.