
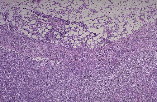
| This pattern of malignant lymphoma is diffuse and no lymphoid follicles are identified. Under low power, note that the normal architecture of the lymph node is obliterated. The lymph node is replaced by an infiltrate of small (mature-appearing) neoplastic lymphocytes, and the infiltrate extends through the capsule of the lymph node and into the surrounding fat. The diagnosis is: malignant lymphoma, small lymphocytic type, diffuse (also known as: "well-differentiated" lymphocytic lymphoma). |
![]() |