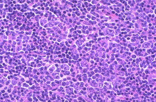
This is Hodgkin lymphoma, lymphocyte predominance type. Many lymphocytes compose this type of HL. A variant Reed-Sternberg cell with a multilobulated nucleus is seen.