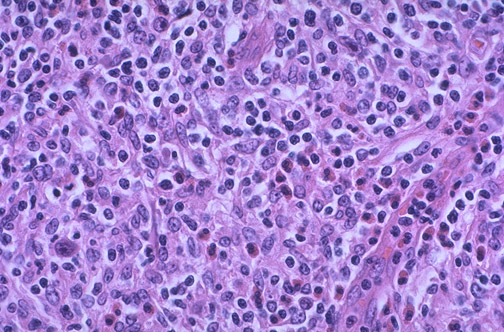
This is Hodgkin lymphoma, mixed cellularity type. A mixed cell population is present. This form of HL tends to be disseminated.