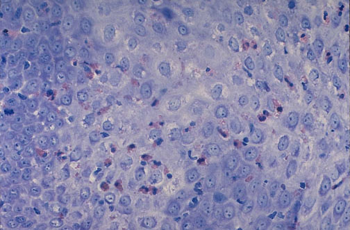
Acute esophagitis, particularly in children, may also be marked by infiltration of the squamous mucosa by eosinophils, seen here with a Giemsa stain.