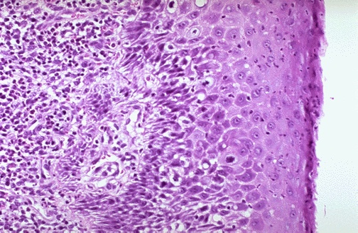
Acute esophagitis is manifested here by increased neutrophils in the submucosa as well as neutrophils infiltrating into the squamous mucosa at the right.