
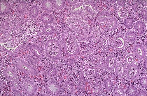
| The colonic mucosa of active ulcerative colitis shows "crypt abscesses" in which a neutrophilic exudate is found in glandular lumens of crypts of Lieberkuhn. The submucosa shows intense inflammation. The glands demonstrate loss of goblet cells and hyperchromatic nuclei with inflammatory atypia. |
![]() |