
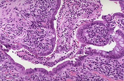
| On microscopic examination at higher magnification, the intense inflammation of the mucosa is seen. The colonic mucosal epithelium demonstrates loss of goblet cells. An exudate is present over the surface. Both acute and chronic inflammatory cells are present. |
![]() |