
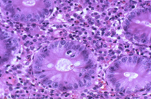
| The small intestinal mucosa at high magnification shows marked chronic inflammation in a case of celiac sprue. There is sensitivity to gluten, which contains the protein gliaden, found in cereal grains wheat, oats, barley, and rye. Removing foods containing these grains from the diet will cause this gluten-sensitive enteropathy to subside. The enteropathy shown here has loss of crypts, increased mitotic activity, loss of brush border, and infiltration with lymphocytes and plasma cells (B-cells sensitized to gliaden). |
![]() |