
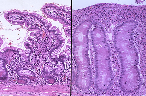
| Normal small intestinal mucosa is seen at the left, and mucosa involved by celiac sprue at the right. There is blunting and flattening of villi with celiac disease, and in severe cases a loss of villi with flattening of the mucosa as seen here. Celiac sprue has a prevalence of about 1:2000 Caucasians, but is rarely seen in other races. Over 95% of affected patients will express the DQw2 histocompatibility antigen, which suggests a genetic basis. |
![]() |