
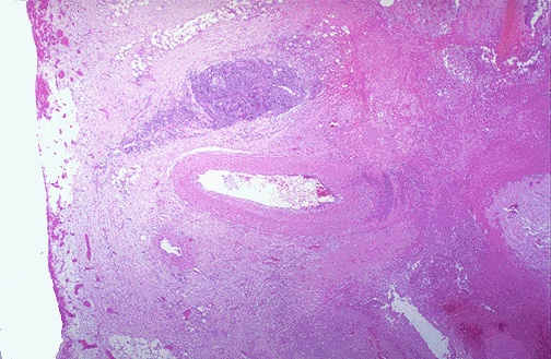
| The ulcer at the right is penetrating through the muscularis and approaching an artery. Erosion of the ulcer into the artery will lead to another major complication of ulcers--hemorrhage. This hemorrhage can be life threatening. Chronic blood loss may lead to an iron deficiency anemia. |
![]() |