 |
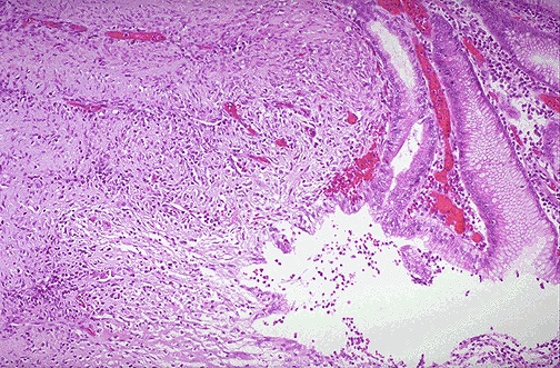
The mucosa at the upper right merges into the ulcer at the left which is eroding through the mucosa. Ulcers will penetrate over time if they do not heal. Penetration leads to pain. If the ulcer penetrates through the muscularis and through adventitia, then the ulcer is said to "perforate" and leads to an acute abdomen. An abdominal radiograph may demonstrate free air with a perforation. |