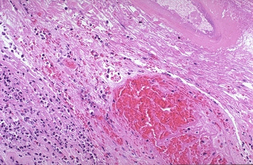
Inflammation and hemorrhage is seen here in the region of a ruptured varix of the esophagus.