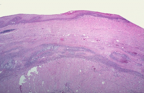
Below the squamous mucosa is an elongated, inflamed varix. Variceal bleeding can be massive and difficult to control.