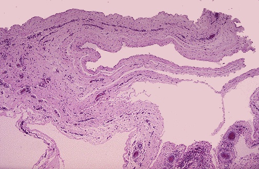
Microscopically, the cystic hygroma consists of irregularly dilated lymphatic spaces in the soft tissue of the neck.