
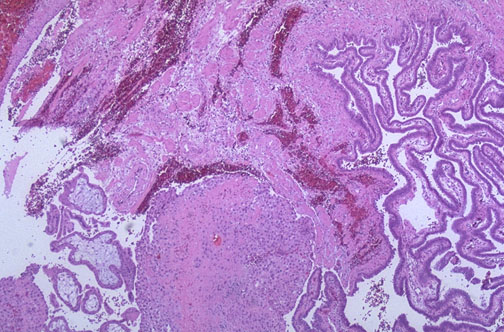
| A positive pregnancy test from the presence of human chorionic gonadotropin (HCG), ultrasound examination, and culdocentesis with presence of blood are helpful in making the diagnosis of ectopic pregnancy. Seen here is tubal epithelium at the right, with rupture site and chorionic villi at the lower left. |
![]() |