
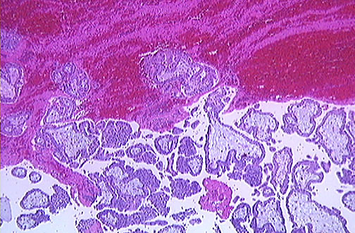
| Sometimes blood clot and chorionic villi, as seen here, are recovered outside of the tube following rupture of an ectopic pregnancy. Other sites of ectopic implantation include ovary, abdominal peritoneum, and cornual (uterine) portion of fallopian tube. |
![]() |